前段時間有一位已經矯正了三年多的美女通過朋友的介紹來找我,希望我幫她診斷一下她的方案有沒有問題。她的苦惱是這樣:(1)、已經治療了三年拔了4顆牙,但是改變不大;(2)、現在上面的拔牙縫總是關不了。
在看到她口內的矯治器那一瞬間,我居然承認我自己有點孤陋寡聞了,因為她的口內矯治器,我居然看不出是什麼類型。
我懷疑牙根已經有問題,於是給她拍一張口腔CT。
果然,上頜兩顆虎牙已經被拉出了牙槽骨之外再加力牽引,恐怕會被拉脫出來……
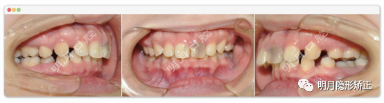
另一個案例,朋友的女兒在外地做了一年的矯正,因為各種原因要回來,希望我繼續幫她完成餘下的治療。

(圖為初診面照)
原來打了四顆支抗釘,一根軟綿綿的弓絲,用了五根拉簧在拚命的拉着虎牙。

(圖為初診口內照)
我給她拍了頭側位片,發現下頜后縮,低角,上前牙已經舌傾。但是:1、上頜還有很大的拔牙間隙沒關完,如果繼續內收上前牙,上前牙會更加舌傾,笑起來露出很多牙槽骨,如果不內收,拔牙間隙又怎麼辦?;2、上下前牙還是深覆合深覆蓋,如果繼續內收下前牙,將繼續加重這種情況,如果不內收,下頜的拔牙間隙又怎麼辦?
弓絲的使用以及加力上的錯誤暫且不說,上面這些問題的焦點都指向了一個點:她的方案到底正不正確?
很多人在矯正之前沒有好好做功課,以為找一個牙醫,裝上矯治器就可以獲得自己想要的結果了……殊不知,矯正路上陷阱多多,稍不留神,就會讓你掉了下去,而專業知識的不對稱又會讓你無從分辨……
我從事正畸這項工作已經有18年的歷史了,非常明白做這項工作的難度,初期的時候也會掉進一些坑,好在有名師指導才得以爬出來,獲得今天的功力!
牙齒排列紊亂的人群數量很大,專業人員又相對缺乏。這麼說吧,如果這些人都要矯正牙齒,全國正規的正畸醫生每天不停的工作也做不完……
正因為這樣,就出現了很多偽正畸醫生,尤其是這幾年隱形矯治器的出現,讓很多沒有正畸基礎的牙醫也加入矯正牙齒的行列,出的問題只會越來越多!
那麼,正準備做矯正的你如何有效的避開陷阱呢?我結合多年的經驗給你提四點建議:
1、看流程是否正常。光靠看一下牙齒就給出方案,催你交錢的,是不怎麼靠譜的,正畸有一個標準的診斷流程,你可以上網查一下;
2、門診的證照是否齊全,醫生的教育背景如何,正規的門診這些都會公示出來。現在有一種現象是門診正規而醫生不專業,就像上面的兩個案例,都是在正規門診做但是醫生不夠專業;
3、在熱門時間段比如周末觀察客人的數量,甚至可以諮詢一下客人對門診及醫生的感受,了解一下門診的歷史;
4、價錢。所謂一分錢一分貨,正畸是一門需要消耗醫生很多時間的工作,尤其是對三維空間都要為你做出治療計劃的方案,當價格低於市場價格的時候,往往會在短時間內結束你的治療,即所謂的簡單治療,只是排平牙齒,其他不管。
還有一種情況就是拿你練手,我不反對年輕醫生在高資歷醫生的指導下開展工作,我是反對盲目開展業務,出了問題都不知道,更不知道如何處理!
當然,以上四點只是最基本的知識,在你決定做矯正之前,多做些功課還是有好處的。
那麼,對於這些複雜的情況,我是如何完成治療計劃的呢?前面第二個案例,通過頭影測量,我發現她有下頜后縮的情況,但是現狀是拔牙過多,而且是低角案例,牙齒移動相當慢!
我給她設計的方案是:先拆除矯治器

(1)、上前牙牙冠唇向直立到正常的角度后再內收;
(2)、加上前牙根舌向轉矩壓牙根向舌側,讓唇側牙槽骨突的情況得到改善,壓低上前牙,改善露齦;
(3)、下前牙唇向直立不再內收,后牙前移關閉拔牙間隙,后牙的移動相當慢,所以低角案例拔牙需要慎重;
(4)、導下巴向前,改善深覆合深覆蓋,這是治療方案當中關鍵中的關鍵,沒有這一步,這個治療無法獲得好的效果。

(圖為治療階段照)
現在治療已經接近尾聲了,雖然還沒完全結束,但是你可以看到她的臉型,牙齒以及覆合覆蓋的明顯變化!
每年的暑假都是各大機構大優惠的時期,建議你謹慎選擇,最終能獲得好的效果。
我也提供了20個免費初診的名額,包括拍x光片,診斷,出方案等等,並且價格絕對漂亮!
加微信預約面診,我在正確的道路上等着您!
我是明月口腔莫主任,25年從業的經歷,18年正畸臨床工作,廣西早期開展兒童早期矯治的醫生之一,美國隱適美高級認證醫生,完成了近300多例隱形矯正案例!












