什 么 是 牙 周 病 ?

牙周病即發生於牙齒周圍支持組織(牙周組織)的疾病。
牙周病的病因
病 因: |
1.局部因素:菌斑、牙石、創傷性咬合、食物嵌塞、不良修復體、口呼吸等因素可以引起牙周組織炎症的發生。其中菌斑是引起本病的主要因素。 |
|---|---|
流行病學: |
牙周病是引起成年人牙齒喪失的主要原因之一。 |

牙周病的臨床表現
典型癥狀: |
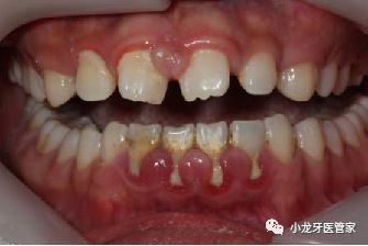
牙齦出血、牙鬆動、移位、咀嚼無力、疼痛等。 |
|---|---|
常見癥狀: |
主要臨床表現為牙齦炎症、出血、牙周袋形成、牙槽骨吸收、牙槽骨高度降低、牙齒鬆動、移位、咀嚼無力,嚴重者牙齒可自行脫落或最後導致牙齒的拔除。 |
其他癥狀: |
可伴有疼痛,溢膿,口臭等併發癥狀。 |


牙周病與全身健康的關係
心腦血管疾病
內分泌系統疾病
消化系統疾病
呼吸系統疾病
對妊娠的影響
對泌尿生殖系統的影響
為什麼牙周病如此可怕
患病率高
易累及全口牙齒
無痛性發展,早起不易被發現
與全身健康關係密切
某些牙周疾病的治療效果不佳

牙周病的治療
1、基礎治療
2、手術治療
3、修復、固定治療
4、維護治療
治療原則: |
消除病因和減輕癥狀的基礎和修復治療。 |
|---|---|
治療方針: |
基礎治療從消除病因和減輕癥狀兩方面入手。修復治療是在牙周基礎治療的基礎上,通過修復學的方法改善患牙的鬆動、移位及咀嚼無力等癥狀。 |
一般治療: |
對牙周炎的治療要從消除病因和減輕癥狀兩方面入手。 |
手術治療: |
需要進行牙周手術治療並配合藥物治療。牙周手術方式包括牙齦切除術、翻瓣術、引導組織再生術及冠延長術等。經過上述治療后,大多數患者的牙周炎症可得到消除,鬆動牙齒得以穩固,患者的咀嚼功能得到改善。 |
其他治療: |
牙周炎的修復治療及支持治療,是在牙周基礎治療的基礎上,通過口腔修復學的方法改善患牙的鬆動、移位及咀嚼無力等癥狀。其根本目的,就是要分散牙合力、消除創傷,建立協調的牙合關係;固定鬆動牙,修復缺失牙,控制病理性的鬆動移位,促進牙周病變組織的癒合,恢復咀嚼功能,同時改善全身健康。 |

希望大家都能擁有一口漂亮的牙齒,感謝閱讀!
