一、齲病的定義和特徵
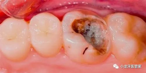
齲病(dental caries or tooth decay)是在以細菌為主的多種因素作用影響下,牙體硬組織發生慢性進行性破壞的一種疾病。
致齲的多種因素主要包括細菌和牙菌斑、食物以及牙所處的環境等。就病因學角度而言,齲病也可稱為牙體硬組織的細菌感染性疾病。

有史以來,人類就開始與齲病進行鬥爭,時至今日,國際社會為征服這一疾病仍在耗費大量人力、物力和財力。齲病也是人類歷史上一種極為古老的疾病。據考古研究發現,目前可以整理出來的齲病流行病學資料可以追溯至新石器時代,即公元前12000~3000年。
我國古代的醫學不僅對齲病早有認識,而且具有豐富的防治經驗。在此僅舉一例,我國唐代《新修本草》一書中有採用銀膏補牙的記載,其配方與現代廣泛使用的銀汞合金非常相似,含有汞、銀、銅、錫幾種成分,這比西方採用銀汞合金充填齲齒要早七八百年。我國的這些醫學遺產是對人類的偉大貢獻,在醫學史上寫下了光輝的篇章。

楔狀缺損是牙齒唇頰側頸部硬組織發生緩慢消耗所致的缺損,由於這種缺損口大底小常呈楔形因而得名。

牙齒在受力時,應力集中於牙頸部,長時間應力集中會導致牙齒硬組織疲勞而發生破壞;
不刷牙的人很少發生楔狀缺損,因此而說明刷牙不當與楔狀缺損有密切關係,長時間的橫向刷牙易導致嚴重的楔狀缺損;
另外,口腔環境常處於弱酸環境下會導致一定程度的楔狀缺損,跟長期飲食酸性物質及睡前飲用乳製品密切相關。
上述的齲病及楔狀缺損是臨床上較為常見的口腔硬組織疾病,齲病一旦發生缺損,如果不及時修補,易發展成牙髓炎及慢性根尖周炎,到那時就會產生較為劇烈的疼痛,甚至寢食難安;楔狀缺損發生時臨床上常見的表現有牙本質敏感,此時可用藥物脫敏,如果缺損較大,同樣會導致牙神經感染引起牙齒的疼痛,甚至會發生牙冠折裂的可能。

1.銀汞合金是汞和銀錫合金粉相互作用下的化合物,數年前臨床使用最多。用銀汞合金修復牙體時應保持一定的體積,才能承受牙合力而不致折斷。
2.複合樹脂是在有機的合成樹脂內加入大量的經特殊處理的無機物的充填材料,它藉助於牙齒表面處理技術,使之粘結於牙體硬組織,修補后的牙體顏色同口內牙齒顏色最為接近,美觀程度高,不易折裂,目前此種材料在臨床上的使用最為常見。
3.玻璃離子聚合粘固粉也是一種常用補牙材料,是一種對牙髓刺激較輕、對牙體硬組織有粘結性,但強度較銀汞合金低的多用途材料。適用於兒童乳牙充填,或作窩洞封閉劑以預防齲病。

所以說,我們在日常生活中如果發現自己存在類似的問題,要及時去醫院找牙科醫生治療哦。

【本公眾號聲明】部分圖片內容素材來源網絡,編輯的目的在於分享,如有違規請及時聯繫,及時處理!

關注公眾號,了解更多醫學小知識!
