珠海箍牙
  ·  
珠海箍牙
珠海箍牙

電話咨詢

珠海牙科

Whatsapp

珠海牙醫

Wechat

請選擇撥打

澳門電話

+853 62124305

香港電話

+852 51721315

廣東話免費咨詢預約

您即將撥打維港口腔澳門咨詢電話

+85362124305

取消 確定

廣東話免費咨詢預約

您即將撥打維港口腔香港咨詢電話

+85251721315

取消 確定

WhatsApp咨詢

點擊「確定」,即可咨詢預約維港口腔,並申請免X-Ray費用,免問診金費用!

取消 確定

WeChat 添加

點擊「打開wechat」進入微信
*可申請免X-Ray、問診金費用
*添加成功後,發送「我要拎$400優惠券」,即可領取牙科優惠

瓷牙套

當前位置: 首頁 > 瓷牙套
為什麽戴用全口義齒時下頜比上頜更容易脫落呢

○ 為什麽戴用全口義齒時下頜比上頜更容易脫落呢

爲什麽戴用全口義齒時下颌比上颌更容易脫落呢因爲上颌牙槽嵴比下颌面積大,所以固位就好;咀嚼、張口時需要使用的肌肉大部...【詳情】

MORE →

拔掉一顆牙齒能引起全口牙齒松動和脫落嗎

○ 拔掉一顆牙齒能引起全口牙齒松動和脫落嗎

拔掉一顆牙齒能引起全口牙齒松動和脫落嗎 在臨床上常可遇到一些老年患者拒絕拔除應當拔掉的患牙,拒絕拔牙的理由是:牙齒不能拔,拔掉一顆牙,全口牙都會松動和脫落。其...【詳情】

MORE →

老年人牙齒爲什麽會磨損

○ 老年人牙齒爲什麽會磨損

老年人牙齒爲什麽會磨損 每一個老年人的牙齒都有不同程度的磨損,磨損常見于牙齒的咬合面、切緣,但也出現在牙齒的鄰面上,磨損可以表現在個別牙,或是一組牙上,甚至發生在全...【詳情】

MORE →

爲什麽牙齒缺失要及時鑲複

○ 爲什麽牙齒缺失要及時鑲複

爲什麽牙齒缺失要及時鑲複 正常的牙齒排列是很整齊的,牙齒與牙齒之間互相有著支持作用,使牙齒維持在一定的位置上,不致有傾斜、歪偏,並能發揮均衡協調的咀嚼功能。老...【詳情】

MORE →

拔牙後多久鑲牙最合適

○ 拔牙後多久鑲牙最合適

拔牙後多久鑲牙最合適 拔過牙齒的老年人,總會感到有多種不便,尤其當前面的門牙拔除後,既影響說話,又有礙容貌,還可造成咀嚼困難,因此要求鑲複的心情則更爲迫切,希...【詳情】

MORE →

26歲開始掉牙,40歲只剩15顆牙!她的錯99%的人在

○ 26歲開始掉牙,40歲只剩15顆牙!她的錯99%的人在

在很多人看來 牙齒缺失 雖然難受 但也並不是性命攸關的問題 然而,有媒體報道:武漢一女子,26歲開始掉牙,平均1年掉1顆,40歲只剩15顆牙。得知原因后,女子後悔痛哭。醫生說:她的...【詳情】

MORE →

毀容又毀腸胃,缺牙不補的危害比你想的更嚴重

○ 毀容又毀腸胃,缺牙不補的危害比你想的更嚴重

俗話說“活到九十九,全靠好牙口” 掉了一顆大牙,不管它行不行? 反正用另一邊牙齒照樣可以吃飯 看了這麼多小編的科普 你覺得行不行?嗯? 你可能會“毀容” 人們經常說到的“癟嘴...【詳情】

MORE →

缺牙,啃個西瓜都是這樣的....論牙齒的重要性

○ 缺牙,啃個西瓜都是這樣的....論牙齒的重要性

俗話說:人生的幾大痛苦莫過於 人在,錢在,牙齒沒有了 ▼ 大夏天的,沒有牙,吃個西瓜都是問題。這不,今天抖音這個視頻在牙醫朋友圈火了 ▼ 世界衛生組織對老年人口腔健康的目...【詳情】

MORE →

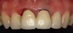
烤瓷冠邊緣發黑是怎麼回事兒,需要修復嗎?

○ 烤瓷冠邊緣發黑是怎麼回事兒,需要修復嗎?

牙冠周圍變黑則可能是牙肉萎縮,或者是牙材的金屬成分遊離造成染色。牙肉萎縮和口腔健康息息相關,要馬上處理;金屬遊離造成的染色,屬於美觀問題,則視情況處理。 牙肉萎縮:牙肉萎...【詳情】

MORE →

烤瓷牙與全瓷牙價格相差十倍的原因竟然是....

○ 烤瓷牙與全瓷牙價格相差十倍的原因竟然是....

全瓷牙,又稱全瓷冠,是覆蓋全部牙冠表面,且不含金屬內冠的瓷修復體。...【詳情】

MORE →